목차 살펴보기
Toggle
시험관시술 준비하다보면 자주 듣게 되는 3일배양, 5일배양. 어떤게 임신 확률이 높은지, 어떤 차이가 있는지 이해하기 쉽지 않습니다.
이 글에서는 시험관 시술 과정에서 말하는 배양의 의미를 먼저 짚어보고, 3일 배양과 5일 배양이 어떻게 다른지 정리해 보았습니다. 임신 준비하는 분들 모두에게 도움이 되길 바랍니다!
✅ 시험관 시술에서는 배아를 3일 또는 5일 동안 배양한 뒤 자궁에 이식합니다.
✅ 3일 배양은 초기 단계에서 이식하고, 5일 배양은 배반포까지 자란 배아를 선별해 이식합니다.
✅ 어떤 방법이 맞는지는 배아 상태와 개인 상황에 따라 달라집니다.
시험관수정 과정에서 말하는 ‘배양’의 의미
🔘 수정 후 배아는 어떻게 자라는가
시험관수정에서 배양이란, 난자와 정자가 수정된 뒤 배아가 자라는 과정을 체외에서 관찰하는 단계입니다. 수정 직후의 배아는 하루하루 세포 분열을 하며 성장합니다.
보통 2~3일 차에는 몇 개의 세포로 나뉜 상태가 되고, 5일 차가 되면 배반포로 발달합니다. 이 기간 동안 배아는 인공 배양액과 환경 속에서 자라며, 의료진은 분열 속도와 모양을 통해 상태를 확인합니다.
🔘 병원에서 배양일수를 구분하는 이유
배양일수를 나누는 이유는 배아의 성장 가능성을 평가하고, 환자에게 가장 적합한 이식 시점을 선택하기 위해서입니다. 모든 배아가 5일까지 자라는 것은 아니기 때문에, 일부 경우에는 3일 배양 상태에서 이식을 진행하기도 합니다.
반대로 배아 수가 충분하고 상태가 안정적이면 5일 배양을 통해 더 선별된 배아를 선택할 수 있습니다. 즉, 배양일수는 단순한 기간 차이가 아니라 환자의 조건과 치료 전략에 따라 결정되는 중요한 요소입니다. 주치의를 믿고 맡기는 것이 가장 현실적인 방법입니다.
3일 배양이란 무엇인가
🔘 3일 배양의 기준과 배아 상태
3일 배양은 수정 후 약 72시간이 지난 시점의 배아를 자궁에 이식하는 방법입니다. 이 시기의 배아는 보통 6~8개 정도의 세포로 나뉘어요.
아직 배반포 단계에는 이르지 않은 초기 형태입니다. 배아가 빠르게 자궁 환경으로 들어가도록 돕는 방식이기 때문에, 체외 배양 기간을 최소화한다는 특징이 있습니다.
🔘 3일 배양을 선택하는 경우가 많은 상황
배아 수가 많지 않거나, 배아가 체외에서 오래 배양되기 어려울 것으로 판단되는 경우 3일 배양이 선택되는 경우가 많습니다.
특히 난자 수가 적거나 연령 요인이 있는 경우, 배아를 일찍 자궁으로 옮겨 자연적인 환경에서 착상을 기대하기도 합니다. 또한 과거 배양 과정에서 배아 소실 경험이 있었던 경우에도 3일 배양이 고려될 수 있습니다.
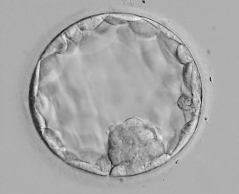
5일 배양(배반포)이란 무엇인가
🔘 5일 배양의 기준과 배반포 특징
5일 배양은 수정 후 약 5일간 배아를 배양해 배반포 단계까지 성장한 후 이식하는 방법입니다. 배반포는 착상에 직접 관여하는 구조가 분화된 상태로, 초기 배아보다 발달 단계가 더 진행되어 있습니다.
이 단계까지 도달했다는 것은 배아가 일정 수준 이상의 성장 능력을 갖추었음을 의미합니다. 일반적으로 3일배양 배아보다 착상에 성공할 확률이 높다고 알려져 있습니다.
🔘 5일 배양이 가능해지는 조건
모든 경우에서 5일 배양이 가능한 것은 아닙니다. 수정란수가 충분하고, 배양 과정에서 안정적인 성장이 기대될 때 주로 선택됩니다.
난자 수와 배아의 질이 비교적 좋은 경우 5일 배양을 통해 더 선별된 배아를 이식할 수 있습니다. 다만 체외 배양 기간이 길어지는 만큼, 배아가 중간에 성장하지 못할 가능성도 함께 고려해야 합니다.
3일 배양과 5일 배양의 핵심 차이 요약
🔘 성공률·선별 기준에서의 차이
3일 배양과 5일 배양의 가장 큰 차이는 배아를 선별하는 시점에 있습니다. 3일 배양은 초기 단계의 배아를 자궁으로 이식하기 때문에, 이후 성장은 자궁 환경에 맡기게 됩니다.
반면 5일 배양은 배반포까지 성장한 배아만 이식하므로, 체외에서 한 번 더 선별 과정을 거친다고 볼 수 있습니다. 일반적으로 5일 배양이 임신 성공률이 높다고 하지만 모든 경우에 해당하는 것은 아닙니다.
🔘 비용·부담·환자 상황별 차이
3일 배양은 배양 기간이 짧아 상대적으로 부담이 적고, 배아 수가 적은 경우에도 선택할 수 있다는 장점이 있습니다. 반면 5일 배양은 추가 배양 과정이 필요해 비용과 관리 부담이 늘어날 수 있으며, 배아가 중간에 성장하지 못할 가능성도 고려해야 합니다.
따라서 어떤 배양일수가 더 좋다고 단정하기보다는, 난자 수, 배아 상태, 과거 시도 결과 등 개인의 상황에 맞춰 결정하는 것이 중요합니다. 주치의와 충분한 상담을 통해 결정하시길 바랍니다.
| 구분 | 3일 배양 | 5일 배양 |
|---|---|---|
| 배양 기간 | 수정 후 3일 | 수정 후 5일 |
| 배아 단계 | 초기 배아 | 배반포 |
| 평균 임신확률 | 약 20~30% | 약 40~60% |
| 착상 성공률 | 보통 | 높음 |
| 배아 선별 | 어려움 | 우수함 |
| 배아 소실 위험 | 낮음 | 있음 (배반포 전 정지 가능) |
| 배아 수 적을 때 | 유리 | 불리할 수 있음 |
| 주로 추천되는 경우 | 배아 수 적음, 반복 실패 | 배아 상태 좋고 임신률 중시 |